Orthodontics

Our practice is dedicated to providing exceptional orthodontic care, addressing misaligned teeth and bite discrepancies to enhance both oral function and facial aesthetics. Whether through clear aligners like Invisalign or traditional braces, our goal is to deliver beautiful, healthy smiles that last a lifetime.

Orthodontics can be beneficial to correct the following bite issues:

  • Dental crowing and misalignment
  • Narrow upper smile
  • Uneven bite
  • Gaps between teeth
  • Overbite
  • Underbite
Orthodontics-Main

Invisalign Dentist Vancouver: We are proud to be a leading provider of Invisalign in Vancouver. This innovative clear aligner system offers a discreet and comfortable alternative to traditional braces, effectively correcting a wide range of orthodontic concerns.

Invisalign for Children, Teens, and Adults: Invisalign is a versatile solution suitable for patients of all ages.

  • Invisalign for Children: Early orthodontic intervention with Invisalign can guide jaw development and address developing bite issues, setting the foundation for a healthy smile.
  • Invisalign for Teens: A popular choice for teenagers, Invisalign provides an esthetic and convenient way to straighten teeth without the self-consciousness often associated with metal braces.
  • Invisalign for Adults: Many adults are choosing Invisalign to achieve the smile they've always wanted, appreciating its minimal impact on their daily lives.

 

Braces for Children, Teens, and Adults: In addition to Invisalign, we offer traditional braces, a proven and effective method for correcting a wide range of orthodontic concerns. Braces are suitable for children, teens and adults.

Schedule a consultation with Dr. Kwan, to discuss your concerns and explore personalized treatment options with either Invisalign or braces. We aim to ensure you are informed and confident about achieving a healthier, more confident smile.

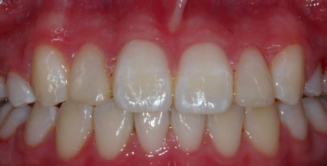
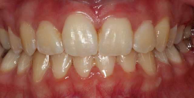
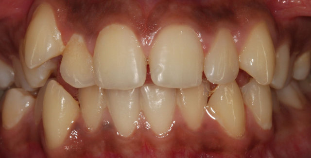
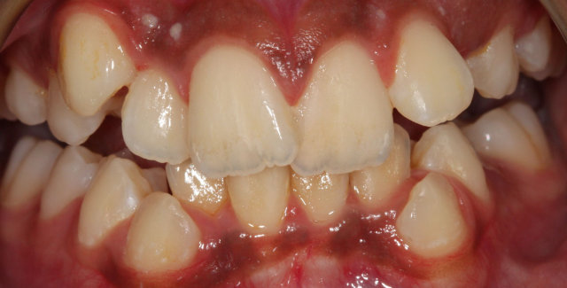
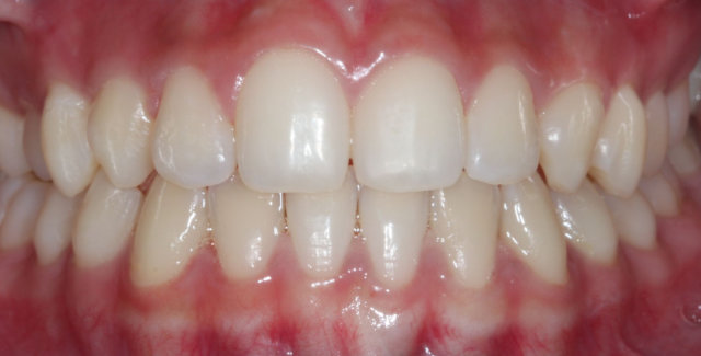
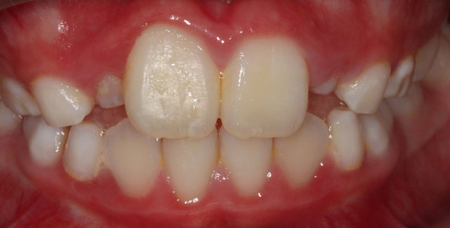
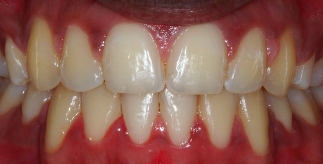
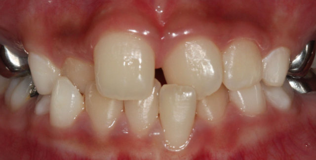
BEFORE & AFTER

B&A-Pics
B&A-Pics
B&A-Pics
B&A-Pics
B&A-Pics
B&A-Pics
B&A-Pics
B&A-Pics
B&A-Pics
B&A-Pics
B&A-Pics
B&A-Pics