Restoring Beauty and Function with Excellence

Dr. Howard Kwan is a dedicated general dentist who finds great satisfaction in helping patients achieve confident, healthy, and beautiful smiles. He has a particular passion and interest in cosmetic dentistry, dental reconstructions, orthodontics, and dental implants, striving to exceed patient expectations.

With nearly 30 years of experience in private practice, Dr. Kwan has had the privilege of serving many patients and building lasting relationships. His journey in dentistry began at the University of British Columbia (UBC) Dental School, where he developed a deep appreciation for the profession. Recently, Dr. Kwan has been given the opportunity to serve as a clinical instructor at UBC, guiding fourth-year dental students. It's a role he finds rewarding, allowing him to share what he's learned and contribute to the growth of future dental professionals.

Throughout his career, Dr. Kwan has made it a priority to stay current with the latest advancements in dentistry. He has invested thousands of hours in continuing education, learning from respected clinicians both locally and internationally. This ongoing education, including participation in numerous study clubs and advanced courses, helps him to provide tailored solutions to his patients.

Outside of his practice, Dr. Kwan values his time with his wife and two teenage children. He enjoys an active lifestyle, including golf, working out, and cycling, finding these activities help him to stay balanced and energized.

Picture of Dr Howard Kwan
Dr-Howard-Kwan-working

OUR SERVICES

  • Exams and check ups

  • White fillings

  • Crowns

  • Bridges

  • Teeth whitening

  • Root canal treatments

  • Partial dentures

  • Dentistry for children

  • Cosmetic Dentistry

  • Night guards

  • Veneers

  • Implants

  • Orthodontics: Invisalign & braces

  • Dental reconstructions

  • Extractions

  • Emergency dental care

BOOK AN APPOINTMENT

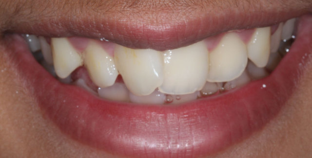
GENERAL DENTISTRY

B&A-Pics
B&A-Pics

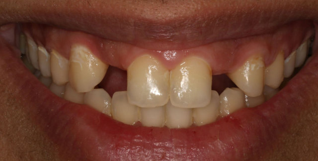
DENTAL IMPLANTS

B&A-Pics
B&A-Pics

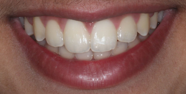
ORTHODONTICS

B&A-Pics
B&A-Pics

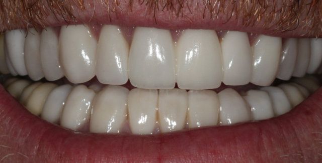
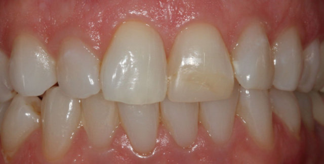
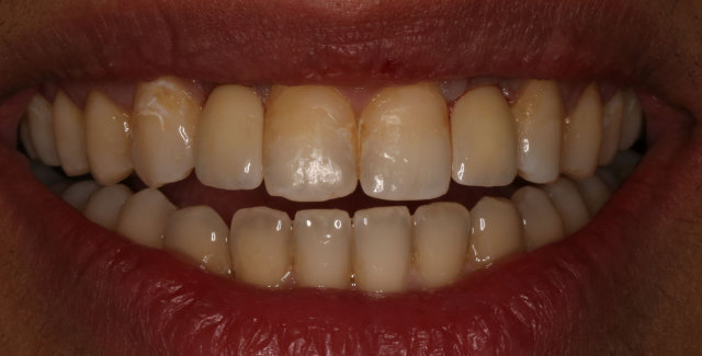
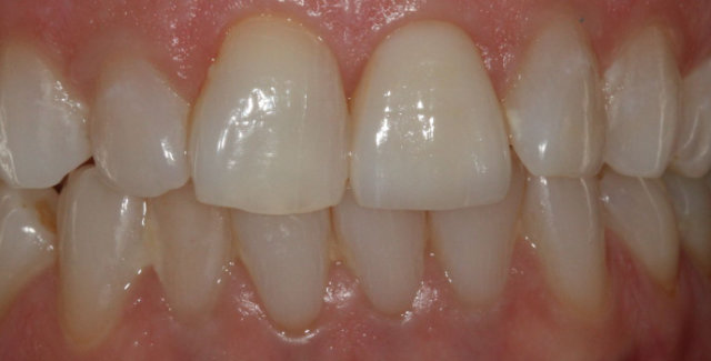
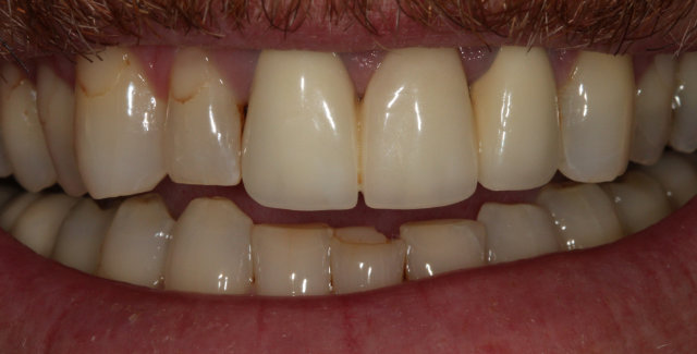
COSMETIC DENTISTRY

B&A-Pics
B&A-Pics
Fraserhood-Dental

Dr. Kwan welcomes new and existing patients to Fraserhood Dental, conveniently located on Fraser Street and 39th Ave in Vancouver.